Diplomdarbs
Eksaktās un dabaszinātnes
Anatomija, veselība, medicīna, higiēna
Periodonta slimību diagnostika un ārstēšanas metodes-
Periodonta slimību diagnostika un ārstēšanas metodes
2011. - 2020. g.
2011. - 2020. g.
| Nr. | Sadaļas nosaukums | Lpp. |
| Darbā lietotie saīsinājumi | 4 | |
| Ievads | 5 | |
| 1. | Literatūras apskats par periodonta slimību | 7 |
| 1.1. | Periodonta uzbūve | 7 |
| 1.2. | Periodonta slimību etioloģija un patoģenēze | 16 |
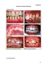
| 1.3. | Periodonta slimību klasifikācija | 20 |
| 1.4. | Periodonta slimību diagnostika | 25 |
| 1.5. | Periodonta slimību ārstēšana | 32 |
| Pirmās daļas secinājumi | 41 | |
| 2. | Praktiskie pētījumi par mutes dobuma higiēnas ietekmi uz periodonta saslimšanām | 43 |
| 2.1. | Ievads | 43 |
| 2.2. | Pētījuma norises vieta | 44 |
| 2.3. | Personīgās pieredzes izvērtējums | 44 |
| 2.4. | Pētījuma metodika | 45 |
| 2.5. | Pētījuma rezultāti | 45 |
| Otrās daļas secinājumi | 52 | |
| Secinājumi un priekšlikumi | 53 | |
| Bibliogrāfija | 56 | |
| Galvojums | 57 | |
| Pielikumi | 58 | |
| 1. | Periodonta slimību klasifikācija | 59 |
| 2. | Pacienta periodontoloģiskā izmeklēšanas karte | 62 |
| 3. | Anketa | 62 |
Secinājumi un priekšlikumi
1. Apzinot un analizējot pētījuma tematam atbilstošo medicīnisko literatūru, kā arī izvērtējot autoru atziņas, konstatēts, ka
• Periodonta slimību cēlonis ir noteiktu Gr- anaerobo mikroorganismu pieaugums un izmaiņas dažādu baktēriju proporcionālajā daudzumā, kas producē toksīnus, izraisot iekaisumu un tālāku periodonta audu destrukciju. Periodonta attīstībai nepieciešama ne tikai aplikuma baktēriju klātbūtne, bet arī ģenētiski predisponēts organisms un viens vai vairāki riska faktori.
• Mutes dobuma higiēnai ir būtiska nozīme periodonta slimību novēršanā. Nevainojama, rūpīga, individuāla mutes dobuma higiēna ir svarīgākais profilakses līdzeklis, faktors, kas palīdz jau agrīnā stadijā konstatēt zobu, smaganu, gļotādas saslimšanas.
• Periodontīts ir zoba balstošo audu saslimšana. Periodonta slimību diagnosticē, izvērtējot pacienta vispārējo veselības stāvokli, ievācot anamnēzi par pacientu, balstoties uz subjektīvo un objektīvo atradni, kā arī uz papildizmeklēšanas metodēm – RTG, sakodiena modeļiem, klīnisko fotografēšanu un aplikuma mikrobioloģisko izmeklēšanu.
• Ārstēšanas iespējas periodonta saslimšanu pacientiem ir iniciālās - etiotropās, pamata ārstēšanas metodes, ķirurģiskā ārstēšanas, rekonstruktīvā un uzturošā ārstēšana. Tās ietver sevī anamnēzes ievākšanu, klīnisko izmeklēšanu, precīzu diagnozes uzstādīšanu, akūto stāvokļu ārstēšanu – lokāla un vispārēja ārstēšana, vispārējo organisma slimību ārstēšanu un komplikāciju profilaksi, pacienta iepazīstināšanu ar izmeklēšanas rezultātiem, informēšanu un motivāciju.
…
Darbs sastāv no ievada, 2 daļām: literatūras apskats par periodonta saslimšanām un praktiskie pētījumi par mutes dobuma higiēnas ietekmi uz periodonta saslimšanām, secinājumiem un 3 pielikumiem. Autors ir beidzis “Zobārstniecības māsa” studiju programmu (3.profesionālais kvalifikācijas līmenis) un vairāk nekā 4 gadus strādājis zobārstniecības praksē, kvalifikācijā - zobārstniecības māsa. Darbā risināta problēma - periodonta slimību izplatība dažādās vecuma grupās, iedzīvotāju informētība par periodontoloģiskām saslimšanām. Darba mērķis ir pētīt periodonta saslimšanu cēloņus un mutes dobuma higiēnas nozīmi slimību novēršanā. Pirmajā darba daļā tiek analizēta teorētiskā literatūra par periodonta uzbūvi, tā saslimšanu klasifikāciju, slimību diagnostiku, ārstēšanu un tās nozīmi mutes dobuma un vispārējās veselības saglabāšanā, īpaši analizējot periodonta slimību etioloģiju un patoģenēzi. Otrajā darba daļā tiek noskaidrota iedzīvotāju informētība par periodonta slimībām un mutes dobuma regulāras higiēnas ievērošanu sabiedrībā. Nozīmīgākie secinājumi: neregulāra mutes dobuma kopšana palielina risku saslimt ar periodonta saslimšanām un sabiedrība nav pietiekoši informēta par mutes dobuma higienas nozīmīgumu.
Koledžas darbs. Latviešu un angļu valodā.
-
Fizikas loma slimību diagnostikā un terapijā
Prezentācija16 Anatomija, veselība, medicīna, higiēna, Fizika
- Invazīvās radioloģijas ārstēšanas metodes mūsdienu dzemdniecībā un ginekoloģijā
- Periodonta slimību diagnostika un ārstēšanas metodes
-
Tu vari jebkuru darbu ātri pievienot savu vēlmju sarakstam. Forši!Saldumu un saldinātu gāzētu dzērienu lietošanas paradumi stresa un depresīvu izjūtu gadījumā Latvijas pieaugušo populācijā
Diplomdarbs augstskolai60
-
Vidusskolas skolēnu izpratne par seksuāli transmisīvo infekciju profilaksi
Diplomdarbs augstskolai25
-
Plaušu artērijas trombembolijas diagnostika un ārstēšana pirmshospitālā etapā
Diplomdarbs augstskolai40
-
Ķirurģiskas ārstēšanas iespējas pēcdzemdību izmaiņām vēdera priekšēja sienā
Diplomdarbs augstskolai42
-
Savstarpīgums komunikācijā starp pacientiem un medicīnas personālu
Diplomdarbs augstskolai67

