Pievienot darbus Atzīmētie0
Darbs ir veiksmīgi atzīmēts!

Atzīmētie darbi

Skatītie0

Skatītie darbi

Grozs0
Darbs ir sekmīgi pievienots grozam!

Grozs

Reģistrēties

interneta bibliotēka
Atlants.lv bibliotēka
Akcijas un īpašie piedāvājumi 2 Atvērt
3,49 € Ielikt grozā
Gribi lētāk?
Identifikators:251239
 
Autors:
Vērtējums:
Publicēts: 26.03.2020.
Valoda: Latviešu
Līmenis: Augstskolas
Literatūras saraksts: Nav
Atsauces: Nav
Darba fragmentsAizvērt

Klīniskā aina
Acu kustību un redzes traucējumi
Galvassāpes no rīta vai galvassāpes, kas pāriet pēc vemšanas
Slikta dūša un vemšana
Miegainība
Kustību koordinācijas traucējumi
Uzvedības traucējumi
Koncentrēšanās spēju traucējumi

Diagnostika
Objektīvā apskate
Neiroloģiskā izmeklēšana
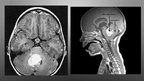
Magnētiska rezonanse
Atsevišķos gadījumos arī biopsija

Ārstēšana
Ķirurģiskā ārstēšana
Staru terapija
ķīmijterapija
Prognoze
Prognoze ir atkarīga no:
Vai audzējs ir ieaudzis smadzeņu tiltā vai smadzeņu stumbrā
Bērna vecums
Cik tālu audzējs ir izplatījies pa smadzeņu stumbru
Vai audzējs ir atklāts pirmrreizēji vai recidīvs

Bērni, kuriem audzējs ir ieaudzis smadzeņu tiltā parasti neīzdzīvo ilgāk par 18 mēnešiem pēc diagnozes uzstādīšanas, bet ja audzējs ir smadzeņu stumbrā tad dzīvo ilgāk par 5 gadiem.

Autora komentārsAtvērt
Parādīt vairāk līdzīgos ...

Atlants

Izvēlies autorizēšanās veidu

E-pasts + parole

E-pasts + parole

Norādīta nepareiza e-pasta adrese vai parole!
Ienākt

Aizmirsi paroli?

Draugiem.pase
Facebook

Neesi reģistrējies?

Reģistrējies un saņem bez maksas!

Lai saņemtu bezmaksas darbus no Atlants.lv, ir nepieciešams reģistrēties. Tas ir vienkārši un aizņems vien dažas sekundes.

Ja Tu jau esi reģistrējies, vari vienkārši un varēsi saņemt bezmaksas darbus.

Atcelt Reģistrēties