Pievienot darbus Atzīmētie0
Darbs ir veiksmīgi atzīmēts!

Atzīmētie darbi

Skatītie0

Skatītie darbi

Grozs0
Darbs ir sekmīgi pievienots grozam!

Grozs

Reģistrēties

interneta bibliotēka
Atlants.lv bibliotēka
4,99 € Ielikt grozā
Gribi lētāk?
Identifikators:401661
 
Autors:
Vērtējums:
Publicēts: 12.03.2013.
Valoda: Latviešu
Līmenis: Augstskolas
Literatūras saraksts: Nav
Atsauces: Nav
Darba fragmentsAizvērt

Intrakraniāls abscess
Abscess- strutas norobežotā (slēgtā) dobumā.
Empiēma- strutas nenoformētā dobumā (nenoformējies abscess)

Intrakraniāls abscess
Veicinošie faktori:
Primārs infekcijas perēklis (otīts, sinusīts, iekaisis zobs u.c.
Intrakraniāla ķirurģija, trauma vai mēles pīrsings.
Endokardīts;
Cukura diabēts.
Pazemināta imunitāte.

Klīniskās izpausmes
Galvassāpes (parasti stiprākas no rīta)
Apziņas traucējumi
Ģībšana
Krampju lēkmes
Meningeālā simptomātika
Citi neiroloģiskie traucējumi

Diagnosticēšana
Anamnēze
Klīniski- neiroloģiskā izmeklēšana
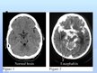
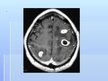
MR ar/bez kontrastvielas
CT ar/bez kontrastvielas
Atsevišķos gadījumos: LP (uzmanīgi, jo pastāv smadzeņu stumbra ķīlēšanās risks), EEG
Krūškurvja RTG, lai izslēgtu predisponējošu plaušu infekciju
Temperatūras mērīšana
AS
C-reaktīvais olbaltums
Leikocīti

Ārstēšana
Lielas i/v antibiotiķu devas, lai caur hematoencefālisko barjeru sasniegtu infekcijas vietu.
Antibiotiku izvēle ir atkarīga no izraisītāja, kuru identificē ar mikrobioloģisko izmeklēšanu.
Kortikosteroīdi, lai samazinātu iekaisumu un smadzeņu tūsku.
Antikonvulsīva terapija

Aprūpe
Māsu aprūpe ir vērsta uz neiroloģiskā stāvokļa novērtējumu, medikamentu administrēšanu, izvērtējot reakciju uz ārstēšanu un nodrošinot atbalstošu aprūpi.
Asins laboratorijas testu rezultātu- glikozes un kālija līmeņa novērošana (kortikosteroīdi).
Insulīna ievadīšana vai elektrolītu nomaiņa ir nepieciešama, lai atgrieztu šīs vērtības normālā stāvoklī.
Apziņas un fiziskā stāvokļa pastāvīga uzraudzība
Novērtē neiroloģisko deficītu, piemēram, hemiparēze, krampji, redzes deficīts utt.

Autora komentārsAtvērt
Parādīt vairāk līdzīgos ...

Atlants

Izvēlies autorizēšanās veidu

E-pasts + parole

E-pasts + parole

Norādīta nepareiza e-pasta adrese vai parole!
Ienākt

Aizmirsi paroli?

Draugiem.pase
Facebook

Neesi reģistrējies?

Reģistrējies un saņem bez maksas!

Lai saņemtu bezmaksas darbus no Atlants.lv, ir nepieciešams reģistrēties. Tas ir vienkārši un aizņems vien dažas sekundes.

Ja Tu jau esi reģistrējies, vari vienkārši un varēsi saņemt bezmaksas darbus.

Atcelt Reģistrēties