Prezentācija
Eksaktās un dabaszinātnes
Anatomija, veselība, medicīna, higiēna
Akūta pulmonoloģija-
Akūta pulmonoloģija
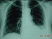
Šķidrums pleiras dobumā
Klīnika: - elpas trūkums
- klepus
- smaguma sajūta, sāpes krūtīs
DG: - anamnēze ( kardiāla vai plaušu)
- perkusija - pieslāpējums (jo šķidrums)
- auskultācija - šķidruma zonā nedzird elpošanu
- US - visjūtīgākā - redz no 20-30 ml šķidruma
- Rtg - redz no ~ 300ml šķidruma
- laboratoriski - mazjūtīga ( BNP pie HSM vai onkomarķeri)
- punktāta analīze + citoloģija
- torakoskopija
TH: - pleiras dobuma punkcija
- ārstēt pamatslimību
- torakoskopija + fibrinolīze
Akūts respiratorā distresa sindroms (ARDS)
ARDS ir akūta un smaga elpošanas nepietiekamība ar hipoksēmiju un difūzu plaušu bojājumu, izslēdzot kardiogēnas plaušu tūskas esamību. Alveolās palielinātas kapilāru caurlaidības dēļ nonāk šķidrums. Var novest pie smagiem, reizēm neatgriezeniskiem plaušu funkciju ierobežojumiem.
Patoģenēze:
Intensīva iekaisumreakcija saistīta ar to, ka plaušās intrakapilāro
Mo ir 87 reizes vairāk, Ly ir 47 reizes vairāk, Neu ir 104 reizes vairāk nekā perifērijā.
Aktivējoties šūnām, plaušu parenhīmā atbrīvojas daudz iekaisuma mediatoru un metabolītu.
Intensīvas iekaisumreakcijas sekas ir endotēlija bojājums, kapilāru caurlaidības palielināšanās, kas veicina intersticiālas un alveolāras tūskas attīstību. Neventilēto alveolu perfūzija parasti apstājas.
Ja perfūzija saglabājas, neoksigenētās asinis sajaucas ar neskarto alveolu apvidus arteriālajām asinīm. Izveidojies intrapulmonālais šunts ir papildfaktors hipoksēmijas izcelsmē. Veidojas plaušu kapilāru hipertensija.
Gāzu difūzijas ceļa pagarinājumam ir otršķirīga nozīme.
ARDS 4 stadijas:
1. Latentā jeb iniciālā stadija - sākas dažas stundas pēc etioloģiskā faktora iedarbības. Aktivizējas granulocīti, fagocitoze, iekaisuma mediatoru izdale. Sekas ir iniciāls kapilāru caurlaidības palielinājums un nevienmērīga intersticiāla tūska. Būtisku gāzmaiņas traucējumu un tipisku radioloģisku plaušu pārmaiņu nav.
2. Eksudatīvā stadija- novēro 12-72h pēc sākuma. Endotēlijs kapilāros un alveolocīti tiek bojāti. Attīstās plašs iekaisīgs process ar Neu un Ly migrāciju. I un II tipa alveolocīti iet bojā, seko surfaktanta deficīts un tam sekojošs alveolu kollapss. Ieceļojušie proteīni saistās ar bojāto šūnu paliekām un veido hialīnās membrānas. Alveolas pildītas ar transudātu. Klīniski attīstās un progresē hipoksēmija. Plaušu rentgenogrammā redz difūzu, bilaterālu, heterogēnu aizēnojumu (~ plaušu tūskai). Citas laboratorās analīzes nespecifiskas, galvenokārt norāda uz pamatslimību. Ilgst aptuveni 7 dienas.
3. Proliferatīvā stadija- ilgst no 7.-12.dienai. Lielākā daļa pacientu atveseļojas un tiek dezintubēti. Dažiem, tomēr sākas klīniska pasliktināšanās. Notiek epitēlijšūnu reģenerācija, kolagēna izgulsnēšanās alveolās un interstīcijā. Sāk veidoties intersticiāla fibroze un plaušās rodas strukturālas pārmaiņas.
Daudzi pacienti atveseļojas 3-4 nedēļas pēc sākotnējā plaušu bojājuma.
4. Hroniski fibrotiskā stadija - raksturīga intersticiāla, intraalveolāra fibroze, alveolārās struktūras sabrukums, pulmonāla hipertensija, hipoksēmija. Iespējama ilgstoša mehāniska ventilācija vai papildus O2 pievade.
Incidence: 13-18 uz 100 ,000 iedzīvotāju gadā
Letalitāte: 32-45%
…
Elpošana ir procesu kopums, kas nodrošina skābekļa uzņemšanu un ogļskābās gāzes izdalīšanu. Elpošanas veidi - ārējā elpošana – gāzu apmaiņa starp gaisu un asinīm - iekšējā elpošana – gāzu apmaiņa starp audiem un asinīm - šūnu elpošana – oksidatīvie procesi mitohondrijos
- Acu slimības
- Akūta pulmonoloģija
- Baktēriju izraisītās slimības
-
Tu vari jebkuru darbu ātri pievienot savu vēlmju sarakstam. Forši!Baktēriju izraisītās slimības
Prezentācija augstskolai7
-
Acu slimības
Prezentācija augstskolai15
-
Gastrīns un gastrīts
Prezentācija augstskolai46
-
Hronisks pankreatīts
Prezentācija augstskolai23
-
Glaukoma
Prezentācija augstskolai32

