Pievienot darbus Atzīmētie0
Darbs ir veiksmīgi atzīmēts!

Atzīmētie darbi

Skatītie0

Skatītie darbi

Grozs0
Darbs ir sekmīgi pievienots grozam!

Grozs

Reģistrēties

interneta bibliotēka
Atlants.lv bibliotēka
Akcijas un īpašie piedāvājumi 2 Atvērt
5,99 € Ielikt grozā
Gribi lētāk?
Identifikators:299503
 
Autors:
Vērtējums:
Publicēts: 19.12.2013.
Valoda: Latviešu
Līmenis: Augstskolas
Literatūras saraksts: 14 vienības
Atsauces: Ir
SatursAizvērt
Nr. Sadaļas nosaukums  Lpp.
  Ievads    3
  Epidemioloģija    5
  Etioloģija    5
  Patoģenēze    6
  Patomorfoloģija    8
  Makroskopiskais raksturojums    8
  Mikroskopiskais raksturojums    9
  Morfoloģiskie iznākumi    14
  Komplikācijas    14
  Laboratorā /funkcionāla diagnostika    15
  Simptomu skaidrojums    15
  Terapijas pamatprincipi    16
  Nobeigums    17
  Izmantotā literatūra    18
Darba fragmentsAizvērt

Nobeigums
Venozā hiperēmija izpaužas kā palielināts audu apasiņojums, ko izraisa samazināta vai traucēta venozā attece. Visbiežākais etioloģiskais faktors, kas izraisa plaušu venozo hiperēmiju, ir kreisā kambara mazspēja. Plaušās hroniska kreisā kambara mazspēja kavē asins plūsmu no plaušu vēnām aortā, kas izraisa hronisku pasīvu sastrēgumu. Rezultātā alveolāro kapilāru spiediens palielinās un tie tiek pārpildīti par asinīm. Palielināts alveolāro kapilāru venozais spiediens izraisa sekojošas izmaiņas:
a. mikrohemorāģijas
b. plazmas šķidrā daļa no asinsvada hidrostatiskā spiediena dēļ pārvietojas alveolārajā telpā
c. makrofāgi aktivē fibroblastus
d. pulmonālā hipertensija.
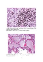
Pārgrieztu hiperēmisku orgānu iekšējās virsmas ir hemorāģiskas un mitras. Plaušas ir blīvas, palielinātas izmēros tūskas dēļ, arī svars palielināts divas līdz trīs reizes, ko izraisa palielināta šķidruma uzkrāšanās gan alveolās, gan asinsvados. Krāsa sarkanīgi brūna (venozā hiperēmija un hemosiderīns).
Akūta pulmonāla venozā sastrēguma gadījumā alveolārie kapilāri pārpildīti ar asinīm, paplašināti, alveolu septu tūska, fokālas intraalveolāras hemorāģijas. Hroniskas venozas hiperēmijas gadījumā alveolu septas ir sabiezinātas, paplašinātas, fibrotiskas. Alveolārajā telpā redzami alveolārie makrofāgi ar hemosiderīna ieslēgumiem – siderofāgi vai sirds mazspējas šūnas („heart failure cells”).
Savlaicīgas ārstēšanas gadījumā process ir atgriezenisks, novēlotas ārstēšanas gadījumā veidojas pneimoskleroze ar saistuadu veidošanos alveolu starpsienās, kas samazina alveolāro telpu, notiek orgāna atrofija.
Komplikācijas saistītas ar neārstētu kreisā kambara mazspēju un plaušu venozo pilnasinību:
- plaušu tūska,
- venozā hipertensija
- pneimonija,
- tahikardia,
- cianoze,
- hidrotorakss
- emfizēma
- hipoksija, hiperkapnija, respiratorā acidoze
Plaušu venozajai pilnasinībai progresējot, var iestāties stāze – asins plūsmas apstāšanās.


Autora komentārsAtvērt
Darbu komplekts:
IZDEVĪGI pirkt komplektā ietaupīsi −12,91 €
Materiālu komplekts Nr. 1336070
Parādīt vairāk līdzīgos ...

Atlants

Izvēlies autorizēšanās veidu

E-pasts + parole

E-pasts + parole

Norādīta nepareiza e-pasta adrese vai parole!
Ienākt

Aizmirsi paroli?

Draugiem.pase
Facebook

Neesi reģistrējies?

Reģistrējies un saņem bez maksas!

Lai saņemtu bezmaksas darbus no Atlants.lv, ir nepieciešams reģistrēties. Tas ir vienkārši un aizņems vien dažas sekundes.

Ja Tu jau esi reģistrējies, vari vienkārši un varēsi saņemt bezmaksas darbus.

Atcelt Reģistrēties